Diabetes
La causa desde la perspectiva de la Medicina Germánica
Según la segunda Ley Biológica de la Naturaleza descubierta por el Dr. Hamer, toda enfermedad es parte de un programa biológico especial de dos fases, siempre y cuando se resuelva el conflicto biológico que lo ha iniciado. Es decir, si se inicia un Programa Biológico Especial de la Naturaleza (SBS) debido a un evento conflictivo (DHS), comenzará una primera fase, la fase de conflicto activo (Fase CA), pero si se resuelve el conflicto (CL=conflictólisis), comenzará la segunda fase llamada de Postconflictólisis (PCL), que es la fase de reparación.
Las 5 Leyes Biológicas de la Naturaleza se cumplen para todas las enfermedades y, por ende, también para el diagnóstico de diabetes, ya sea que hablemos de diabetes tipo I, tipo II. Por lo tanto, la diabetes también es parte de un programa biológico especial sensato (SBS) y las clasificaciones son arbitrarias, simplemente, porque no se conoce la causa.
Curiosamente, dentro de los síntomas asociados a la diabetes se encuentran la fatiga, sudoración fría, polifagia, que en realidad son síntomas de hipoglucemia, es decir, una disminución de los niveles de glucosa en sangre. Sin embargo, la diabetes se define como una enfermedad donde los niveles de glucosa en sangre se mantienen demasiado altos. ¿No vemos una contradicción aquí?
Todo esto se puede entender con claridad si conocemos y aplicamos la Germánica para explicar la diabetes mellitus. Cuando hablamos de diabetes tipo I sabemos que estamos frente a un SBS del centro de control de la glucosa que afecta a las células beta del páncreas, es decir, a las células productora de insulina. En cambio, cuando nos referimos a la diabetes tipo II estamos frente a dos conflictos biológicos del centro de control de la glucosa, uno que involucra a las células beta del páncreas y otra que involucra a las células alfa del páncreas, es decir, a las que producen glucagón.
En términos de la NMG, la diabetes tipo II sería una constelación esquizofrénica, porque involucra dos SBS activos, una en cada uno de ambos hemisferios cerebrales, específicamente, en el diencéfalo.
Para aclarar esto, existen dos centros de glucosa en la bifurcación frontal de los ventrículos cerebrales, en el diencéfalo. El relé del lado derecho corresponde al control de la insulina y el de la izquierda al control del glucagón. La insulina es una hormona que se encarga de tomar la glucosa que hay en sangre en exceso para ingresarla a los tejidos para su almacenamiento, en cambio, el glucagón es una hormona que hace lo contrario, toma las reservas de glucosa de los tejidos y la libera a la sangre cuando hay deficiencia.
Ambas hormonas mantienen los niveles de glucosa en el óptimo para un buen funcionamiento del cuerpo. Si baja la producción de glucagón no se libera la glucosa de las reservas, esto hará que bajen la glucosa disponible en sangre, si esta condición continúa, la hipoglucemia nos impulsará a ingerir alimentos que nos aporten glucosa y comenzaremos a acumular más reservas. Si, por el contrario, baja la producción de insulina, no se guardará la glucosa como reserva en los tejidos, sino que se mantendrán en la sangre disponible para sus uso, habrá hiperglucemia hasta que se ocupe esa glucosa.
El centro de control de la insulina, es decir, el relé del lado derecho del cerebro, representa un conflicto activo de resistencia y defensa contra alguien o algo. Es una respuesta masculina, dado que el aumento de glucosa en sangre permite tener la energía disponible para actuar y defenderse.
El centro de control del glucagón, es decir, el relé del lado izquierdo del cerebro, representa un conflicto de miedo-repugnancia hacia alguien o algo específico. Esta es una respuesta femenina, puesto que la bajada de glucosa en sangre impulsará a la persona a comer en abundancia buscando acumular energía para actuar después.
Es importante detenernos aquí para explicar que se debe considerar la lateralidad de la persona (diestra o zurda) y también el estado hormonal (balance de estrógenos y testosterona) para saber el relé que afectará y el conflicto biológico que se vive. Estamos hablando de SBS de tejidos ectodérmicos controlados por la corteza cerebral donde estos factores determinan la respuesta.
Las mujeres en estado hormonal normal (estrógenos más altos que la testosterona) viven el conflicto de miedo asco-repugnancia. La mujer diestra responderá por el lado izquierdo del cerebro (lado femenino) y, por ende, afectará el relé del glucagón disminuyendo los niveles de glucosa en sangre (hipoglucemia-polifagia). En cambio, ante el mismo conflicto, las mujeres zurdas responden por el lado opuesto, es decir, responderá por el lado derecho y afectará el relé de la insulina, aumentando los niveles de glucosa en sangre (hiperglucemia-diabetes).
Los hombres en estado hormonal normal (testosterona más alta que los estrógenos) activan el SBS por un conflicto de resistencia-defensa. Si se trata de hombres diestros afectará el relé de la insulina (lado derecho) provocando el aumento de la glucosa en sangre (diabetes), pero si hablamos de un hombre zurdo, responderá por el lado izquierdo, es decir, en el relé del glucagón y tendrá polifagia.
Para la medicina oficial, la diabetes tipo I se cataloga como una enfermedad incurable, autoinmune, es decir, donde el cuerpo se ataca así mismo, probablemente por causa genética o por la acción de algún virus. En esta patología en particular, el sistema inmune destruiría las células productoras de insulina, incluso hasta eliminarlas por completo, lo que aumentaría los niveles de glucosa en sangre y haría a estos pacientes dependientes del consumo de insulina externa.
Lo curioso es que se catalogue como una enfermedad incurable, puesto que, se asume que la destrucción de las células beta del páncreas es un proceso irreversible, sin embargo, estudios del año 2010 (Thorel, et al) hechos en animales a los cuales se les eliminaron quirúrgicamente estas células, demuestran que las recuperaron de manera espontánea. Esto también se ha podido observar en humanos.
Las personas que tiene este diagnóstico están con un conflicto activo en el relé del control de la insulina. No es por acción de virus, ni por un mal funcionamiento del cuerpo, sino porque están en conflicto activo y el cuerpo se adapta para resolver en conflicto.
Como se mencionó, el propósito biológico de ambos programas es poder disponer de energía para poder actuar, aunque usan estrategias diferentes. La estrategia masculina es para la acción inmediata, en cuanto se produce el DHS, es decir, en cuanto entra en conflicto, sube la glucosa disponible para defenderse. En cambio, la estrategia femenina es acumular reservas por medio de la ingestión de alimentos que rápidamente suban la glucosa en sangre.
Comportamiento de los SBS.
Comenzamos este artículo mencionando que todos los SBS tienen dos fases y los mencionado no son la excepción.
El SBS del centro de la insulina tiene una primera Fase CA con hiperglucemia en toda esta fase, es decir, mientras se esté en simpaticotonía habrá hiperglucemia. Si la persona resuelve el conflicto biológico (CL), pasará a la segunda fase, la fase de vagotonía. Como sabemos en la vagotonía se divide en PCLA y PCLB, que están separadas por la epicrisis. En la PCLA comienza a recuperarse la función de las células beta del páncreas. Entonces, después de la CL, comienza la PCLA con una bajada en los niveles de glucosa hasta llegar a un mínimo que sube nuevamente en la epicrisis donde, otra vez, se manifiesta una hiperglucemia seguida de una hipoglucemia prolongada. Es decir, después de la epicrisis (hiperglucemia) se pasa a la PCLB donde hay riesgo de coma diabético por la hipoglucemia, que puede prolongarse por un tiempo. Después la glucosa se va normalizando hasta que termina el SBS y se vuelve a la normotonía.
El SBS del centro del glucagón es totalmente opuesto, es como un espejo del anterior. Comienza la Fase CA con hipoglucemia, cuando se produce la CL se recupera lentamente la función de las células alfa del páncreas y va subiendo la glucosa en sangre durante la PCLA, esta subida se ve interrumpida durante la epicrisis donde, nuevamente, se presenta un pico de hipoglucemia que continúa con una hiperglucemia prolongada durante la PCLB, pero los niveles de glucosa se normalizan a medida que avanza la PCLB y se llega al final del SBS.
Por eso, cuando estamos en constelación del centro de la glucosa, tenemos un diagnóstico de diabetes tipo II, puesto que pasamos por periodos de hipo e hiperglucemia intermitentemente, dependiendo de cuál de los dos SBS esté con más intensidad en ese momento. Estas personas, pueden pasar por periodos con polifagia y por periodos de inapetencia, indistintamente.
Cabe mencionar que estos Programas Biológicos Especiales son para todos, por lo que también incluye a los niños. La terapia de la Germanische Heilkunde (NMG) implica ayudar al paciente a conocer la causa de su diabetes para que pueda darle solución definitiva, por supuesto, tomando todos los resguardos para que, en caso de resolver, no haya complicaciones, especialmente, porque conociendo el SBS se sabe qué pasará con sus niveles de glucemia si resuelve su conflicto y se puede preparar para ello.
Algunos ejemplos.
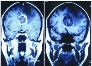
Una mujer zurda de 35 años fue diagnosticada con un tumor cerebral. Sin embargo, el diagnóstico del Dr. Hamer fue diferente. Esta mujer había vivido a los 5 años un conflicto de miedo-asco, por causa de su padre que la obligó a realizarle una felación. Ella no había podido resolver ese conflicto que se mantuvo activo durante 30 años.
Como era zurda, este conflicto impactó en el lado derecho del cerebro, es decir, en el relé de la insulina. Ella tuvo durante 30 años hiperglucemia, pero no fue diagnosticada con diabetes debido a que no presentaba síntomas (algo muy común). Sin embargo, comenzó a tener algunos síntomas de esta hiperglucemia cuando tuvo que cuidar a su padre postrado los últimos 5 años. Cuando el padre muere, ella resuelve definitivamente y las molestias la llevan al diagnóstico de tumor cerebral, que no es más que la PCL en el relé de la insulina debido a que ha resuelto el conflicto definitivamente (ver foto del final del artículo).
Otro caso del Dr. Hamer, es una niña diagnosticada con diabetes tipo I y que concurrió a su consulta después de algunos años de ser tratada con insulina. Le DHS había ocurrido cuando tenía 11 años. Una amiga le prestó una cinta de video sin permiso de su madre, la niña llevó la cinta a su casa, pero la madre de la amiga llamó por teléfono para decir que la había sacado sin permiso. Los padres regañaron a su hija diciendo cosas como “no pensamos que eras una ladrona” y la obligaron a ir a devolver la cinta.
La amiga no dijo que se la había prestado y los padres también fueron cómplices de tal injusticia y humillación. La niña no lograba superar el conflicto puesto que la amiga seguía en la misma escuela y los padres seguían pensando que ella había actuado como una ladrona.
El Dr. Hamer hizo las conexiones descubriendo el DHS. Les hizo saber a los padres que debían disculparse y también la amiga. Incluso la madre de la amiga tuvo que admitir que sabía muy bien que la niña había pedido prestado video por una noche, por lo que no se podía hablar de robo.
Estos son solo ejemplos reales del Dr. Hamer, el desafío de cada paciente con este diagnóstico es encontrar su propio DHS para poder superarlo, muchas veces para conseguirlo se requiere la ayuda de alguien que lo guíe, también, en especial si se trata de niños, de la familia que colabore para que la persona pueda solucionar definitivamente y recuperar sus niveles de glucosa a valores normales.
Nota: Texto escrito por Margarita Galaz, basada en los textos del Dr. Hamer, los ejemplos aparecen en su blog, la fotografía también fue sacada de ahí. https://germanische-neue-medizin.de/angst-ekel-konflikt-straeuben-konflikt
